




CHITKARA PERFECT EYE AND RETINA CENTRE- BEST OPHTHALMOLOGY HOSPITAL IN AMRITSAR
WELCOME TO CHITKARA PERFECT EYE RETINA CENTRE
Located in the New Amritsar, Chitkara perfect eye & retina centre believes that clear vision in essential for a good quality of life
As a top eye care facility , we use the latest technology and show lots of care to help you see the world more clearly.
DR. Taranpreet K Chitkara
Owner and Medical director at Chitkara prefect eye & retina centre .
M.S Ophthalmology:( Regional Institute of medical Sciences university of Manipur ,Imphal)
FVRS: Fellowship in Vitreo Surgery :Â Sardar Bahadur Dr Sohan Singh Eye Hospital Amritsar.
Dr Taranpreet Kaur Passed her MBBS from Medical College ,Kolkata in the Year 2010 and MS From Regional Institute of Medical Siences, Imphal , Manipur in the year 2014 . She was assistant Professor vitreo retina Surgeon at shri Guru Ramdas Institute of Medical Science,Amritsar from 2018 till 2023.
Special interest in Retinopathy of prematurity screening and treatment.
Established dedicated Retinopathy of prematurity-ROP – with the support of SGRD management team in OPD complex in the year 2020 with centralised oxygen supply, suction line,neonatal multi-parameter and a Nd yag green laser machine with a trained paediatric nurse and an anaesthetist stand by during the procedure.
With over 15 Years of Experience , Dr Taranpreet has Performed More than 1000 Complex vitreo retina Surgeries.She was a senior vitreo Retina consultant at Dr Om Prakash Eye Hospital, And SB Dr Sohan singh Eye Hospital.
Eye Care Service

Fundus Examination & Imaging
It is a simple and painless test that give us complete information about the main structure of the back of the eyeball.

Retina Diagnostic Scaning
Retina diagnostic scanning uses advanced imaging like Optical Coherence Tomography (OCT) and digital photography to create detailed pictures of the back of your eye (retina, optic nerve, blood vessels) for early detection, diagnosis, and monitoring of eye diseases such as macular degeneration, diabetic retinopathy, and glaucoma

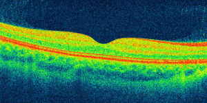
OCT Macula
An OCT Macula scan uses Optical Coherence Tomography to create detailed 3D images of the macula, the eye's central vision area, to diagnose and monitor conditions like Age-Related Macular Degeneration (AMD), diabetic macular edema, macular holes, and epiretinal membranes

Rop Screening & Laser
ROP screening (Retinopathy of Prematurity) is a crucial eye exam for premature or low-birth-weight babies to detect abnormal blood vessel growth in the retina

Laser Therapy For Retina Diseases
Retinal laser therapy uses focused light beams to treat eye conditions by creating tiny burns to seal leaks, shrink abnormal vessels, or repair tears, preventing vision loss from diseases like diabetic retinopathy, macular edema, or retinal detachmen

Intravitreal Injection
An intravitreal injection is a minimally invasive procedure where a doctor injects medication directly into the vitreous gel filling the back of the eye to treat serious retinal conditions, reducing swelling and abnormal blood vessel growth, commonly for diabetic retinopathy, macular degeneration (AMD), and retinal vein occlusion

Vitreo Retina Surgery
Vitreoretinal surgery treats serious conditions affecting the eye's retina and vitreous gel, involving delicate procedures to repair detachments, fix diabetic damage, remove bleeding, or close macular holes, often using vitrectomy (removing the vitreous)

Corneal Diagnostic Workup & Scaning
A comprehensive corneal diagnostic workup includes advanced, non-invasive imaging techniques to map, measure, and analyze the cornea's structure, thickness, and curvature
Meet Our Doctors

Dr Taranpreet K Chitkara
M.S, (EYE),FVRS,
Consultant Vitreo Retina Surgeon & ROP Speclialist

Dr Tejinder Singh Chitkara
DNB(Anaes), FICM Intensivist Critical Care
ConSultant

Dr Maninder Singh Chitkara
MD (Medicine) PDCM